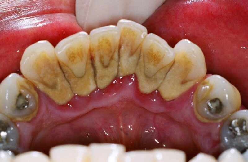
Alamorganik.com-Masalah karang gigi bukan hal baru. Banyak orang mengeluhkan gigi terlihat menguning, terasa kasar saat disentuh lidah, atau muncul bau mulut yang sulit hilang. Karang gigi terbentuk dari plak yang mengeras, dan jika dibiarkan, ia bisa menyebabkan radang gusi, gigi goyang, hingga infeksi. Sayangnya, banyak orang tidak menyadari bahwa karang gigi tidak bisa hilang hanya dengan menyikat gigi biasa.
Di tengah berbagai pilihan obat kumur dan perawatan modern, beberapa orang mulai melirik kembali bahan alami. Salah satu bahan alami yang banyak dipercaya membantu merawat kesehatan gigi adalah daun kunyit. Daun ini memiliki aroma khas dan sering digunakan sebagai bumbu masakan, tetapi tak banyak yang tahu bahwa ia juga memiliki manfaat untuk kebersihan mulut.
Walaupun daun kunyit tidak dapat menggantikan scaling di dokter gigi untuk karang yang sudah keras dan menumpuk, daun kunyit tetap bisa membantu mengurangi plak, menjaga bau mulut tetap segar, dan mencegah karang gigi bertambah parah. Dengan penggunaan yang rutin, daun kunyit membantu meningkatkan kebersihan mulut secara alami.
Mari kita bahas lebih dalam manfaatnya dan bagaimana Anda dapat menggunakannya dengan aman.
Mengapa Daun Kunyit Baik untuk Kesehatan Mulut?

Daun kunyit mengandung beberapa senyawa aktif yang bermanfaat untuk kebersihan mulut, di antaranya:
1. Senyawa antiseptik alami
Daun kunyit mengandung kurkuminoid, minyak atsiri, dan antioksidan yang bekerja sebagai antiseptik alami. Senyawa ini membantu menghambat pertumbuhan bakteri penyebab plak dan bau mulut.
Ketika bakteri berkurang, plak lebih sulit menempel dan mengeras menjadi karang.
2. Aroma daun kunyit menyegarkan mulut
Aroma segar khas daun kunyit membantu mengurangi bau mulut. Sensasi segarnya membuat rongga mulut terasa lebih bersih dan nyaman.
3. Sifat anti-inflamasi meredakan gusi bengkak
Gusi sensitif, mudah berdarah, atau terasa bengkak biasanya terjadi akibat penumpukan plak. Daun kunyit memiliki sifat anti-inflamasi yang membantu menenangkan kondisi tersebut, sehingga rongga mulut terasa lebih nyaman.
4. Sifat abrasif lembut membantu mengangkat plak
Dalam bentuk tumbukan atau olesan, daun kunyit dapat memberikan efek abrasif sangat ringan yang membantu mengangkat plak tipis sebelum berubah menjadi karang keras.
Ini sebabnya daun kunyit cocok digunakan sebagai perawatan pendukung.
Bisakah Daun Kunyit Merontokkan Karang Gigi?
Jawabannya: bisa membantu, tetapi tidak sepenuhnya menghilangkan karang gigi yang keras.
Daun kunyit bekerja efektif pada:
- plak yang masih lunak,
- lapisan awal karang gigi,
- bau mulut,
- gusi meradang.
Tetapi karang yang sudah mengeras, menumpuk, atau berada di bawah garis gusi hanya bisa hilang melalui tindakan medis seperti scaling di dokter gigi.
Meski begitu, daun kunyit tetap bermanfaat sebagai perawatan rumahan untuk mencegah pembentukan karang baru dan menjaga mulut tetap bersih.
Cara Menggunakan Daun Kunyit untuk Membersihkan Plak dan Mencegah Karang Gigi
Ada beberapa cara sederhana yang bisa Anda lakukan di rumah. Pilih yang paling nyaman untuk Anda.
1. Mengunyah Daun Kunyit Segar
Cara ini menjadi metode tradisional yang paling mudah dilakukan.
Langkah-langkahnya:
- Ambil 1–2 lembar daun kunyit segar.
- Cuci bersih hingga tidak ada kotoran yang menempel.
- Kunyah daun kunyit selama 2–3 menit hingga aromanya terasa kuat.
- Sikat gigi seperti biasa setelahnya.
- Lakukan 3–4 kali seminggu.
Manfaat metode ini:
- membantu mengurangi plak,
- menjaga napas tetap segar,
- menenangkan gusi.
2. Menggosok Daun Kunyit ke Permukaan Gigi

Ini adalah metode yang lebih terfokus pada pengangkatan plak.
Cara melakukannya:
- Cuci bersih daun kunyit.
- Remas atau gulung daunnya hingga sedikit keluar minyaknya.
- Gosokkan daun secara perlahan ke permukaan gigi dan area dekat gusi.
- Bilas mulut dengan air bersih.
- Lakukan 2–3 kali seminggu.
Manfaatnya:
- membantu mengangkat plak,
- memberikan aroma segar,
- mengurangi kotoran di celah gigi.
3. Membuat Pasta Daun Kunyit
Jika Anda ingin hasil yang lebih optimal, Anda bisa membuat pasta alami dari daun kunyit.
Bahan:
- 5 lembar daun kunyit segar
- 1 sendok teh garam halus (opsional)
- Sedikit air hangat
Cara membuat:
- Sobek daun kunyit menjadi bagian kecil.
- Tumbuk atau blender hingga halus.
- Tambahkan sedikit air sampai menjadi pasta lembut.
- Opsional: tambahkan garam untuk menambah efek antibakteri.
Cara penggunaan:
- Oleskan pasta ke permukaan gigi menggunakan jari bersih atau cotton bud.
- Diamkan 2 menit.
- Gosok gigi seperti biasa.
- Bilas hingga bersih.
Manfaatnya:
- menghambat perkembangan bakteri,
- membantu mengangkat plak,
- meredakan gusi merah atau bengkak.
4. Kumur Daun Kunyit Rebus
Jika Anda tidak ingin mengunyah atau menggosoknya langsung, cara ini paling praktis.
Cara membuat:
- Rebus 5–7 lembar daun kunyit dalam 2 gelas air.
- Tunggu hingga air tersisa setengahnya.
- Saring air rebusan dan biarkan hangat.
Cara penggunaan:
- Gunakan air rebusan sebagai obat kumur.
- Kumur selama 30 detik lalu buang.
- Ulangi 2–3 kali seminggu.
Manfaatnya:
- mengurangi bau mulut,
- menjaga gusi tetap sehat,
- membantu mencegah karang gigi bertambah.
Tips Aman Menggunakan Daun Kunyit untuk Mulut

Agar hasilnya optimal dan aman, Anda perlu memperhatikan hal-hal berikut:
✔ Gunakan daun kunyit yang bersih dan segar
Daun yang kotor atau layu memiliki risiko membawa bakteri.
✔ Jangan menggosok terlalu keras
Tekanan berlebihan justru dapat melukai gusi.
✔ Batasi penggunaan garam
Garam memang antibakteri, tetapi jika terlalu banyak dapat mengiritasi mulut.
✔ Rutin sikat gigi 2 kali sehari
Daun kunyit hanyalah pendukung, bukan pengganti.
✔ Scaling tetap penting
Jika karang gigi sudah keras, Anda tetap perlu membersihkan ke dokter gigi.
Daun kunyit merupakan bahan alami yang kaya manfaat. Dengan sifat antiseptik, anti-inflamasi, dan aroma segarnya, daun kunyit membantu mengurangi plak, mencegah bau mulut, dan menjaga kesehatan gusi. Meski daun kunyit tidak bisa menghilangkan karang gigi yang sudah mengeras, penggunaannya tetap memberikan manfaat besar dalam menjaga kebersihan mulut sehari-hari.
Jika Anda rutin menggunakannya sebagai perawatan pendukung, daun kunyit bisa menjadi solusi alami yang mudah, murah, dan aman untuk menjaga kesehatan mulut Anda. (rull*)









