Topik daun kunyit

Kesehatan

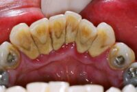
Manfaat Daun Kunyit untuk Membantu Merontokkan Karang Gigi 

Kesehatan | Selasa, 16 Desember 2025 - 06:02 WIB

Selasa, 16 Desember 2025 - 06:02 WIB

Alamorganik.com-Masalah karang gigi bukan hal baru. Banyak orang mengeluhkan gigi terlihat menguning, terasa kasar saat disentuh lidah, atau muncul bau mulut yang sulit hilang….